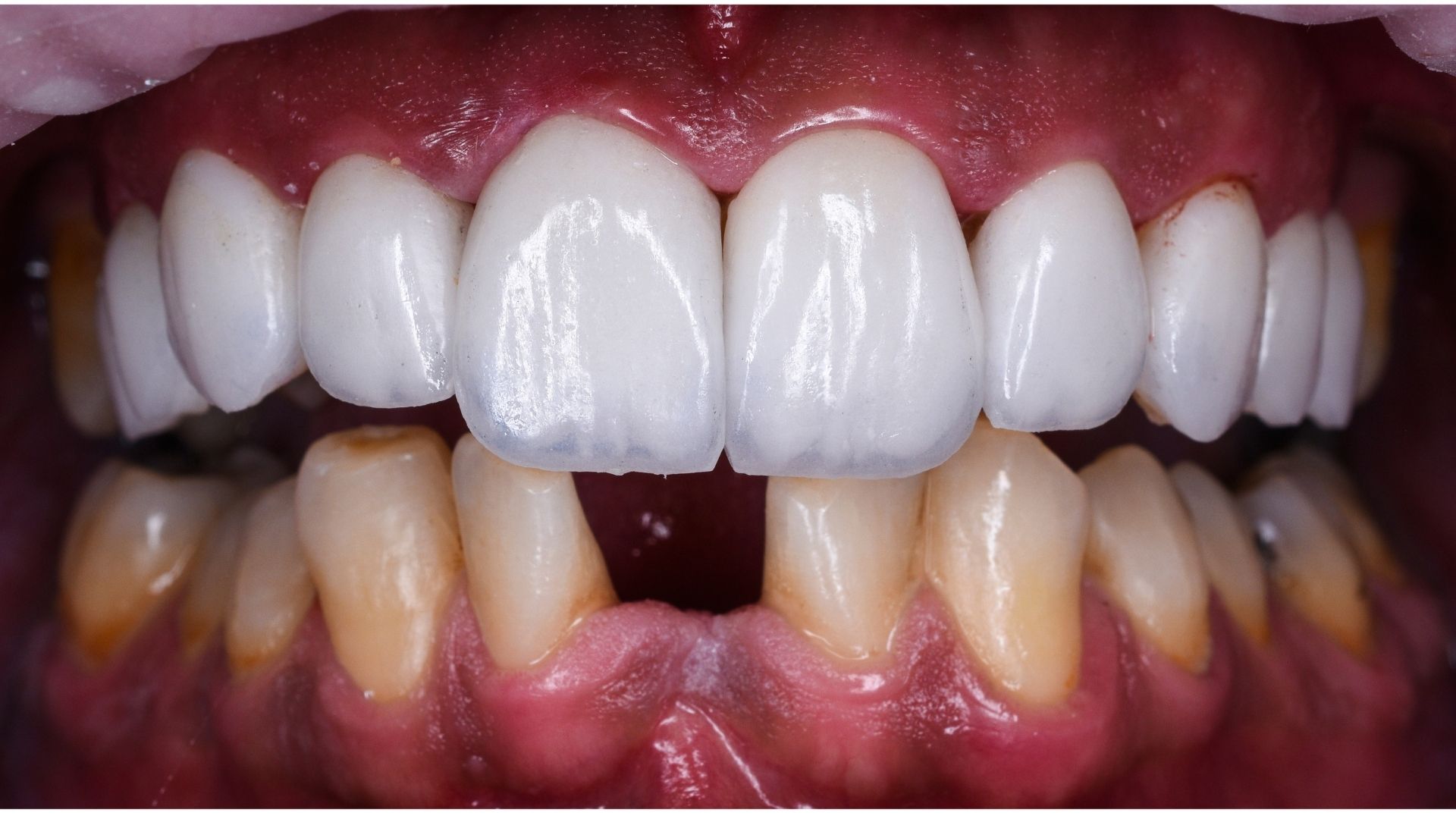
In this method, which contains all the desired features such as aesthetic expectation, naturalness and functional resistance, White Zirconium is used instead of gray metal as infrastructure.It is critically important for us that Zirconium Veneers are natural enough to be preferred on the front teeth and strong enough to be used on the back teeth. Due to its high permeability, a more natural appearance is obtained.
Who Is The Target Audience Of Zirconium Veneers?
• In cut teeth with a history of veneer treatment
• Broken tooth revision and correction,
• Joining disjointed teeth,
• In revision of old fillings that have changed color and structure,
• During the treatment of crooked and bent teeth,
• Positive results are obtained by using it in teeth that have lost too much material to be filled.
What Are Zirconium And Porcelain Crowns?
In this method, which contains all the desired features such as aesthetic expectation, naturalness and functional resistance, White Zirconium is used instead of gray metal as infrastructure.It is critically important for us that Zirconium Veneers are natural enough to be preferred on the front teeth and strong enough to be used on the back teeth. Due to its high permeability, a more natural appearance is obtained.
• In cut teeth with a history of veneer treatment • Broken tooth revision and correction, • Joining split teeth, • In revision of old fillings that have changed color and structure, • During the treatment of crooked and bent teeth, • Positive results are obtained by using it in teeth that have lost too much material to be filled.
Zirconium is a material compatible with tooth tissue. The bruising-like discoloration seen in metal-supported prostheses, in the neck of the tooth and in the gingiva, is never seen and does not cause gingival recession. If the gum is pulled out due to reasons such as incorrect brushing, it does not create an aesthetically bad appearance.
Since it has a smooth and slippery porcelain surface, plaque accumulation is not observed. Therefore, it is not affected by coloring foods such as coffee, tea and cigarettes. Its color always continues to be used as it is applied.
Zirconia veneer care is the same as for normal teeth. It should be brushed twice a day, and between each tooth should be cleaned regularly with dental floss. Like every patient, patients with zirconia veneers should not neglect routine dental checks every 6 months.




