Jeweled accessories that can be put on and removed from the teeth, also known as Grillz; first started to be worn
Composite fillings, which are expressed as aesthetic white fillings, which are started to be used with the increasing popularity
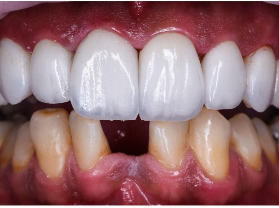
In this method, which contains all the desired features such as aesthetic expectation, naturalness and functional
Teeth Whitening is a cosmetic solution in which colored organic and inorganic substances formed in the enamel structure
Laminate veneer restorations are thin porcelain restorations designed to improve both the aesthetic appearance



